2 Green Dental 2 Green Walk Crayford Kent DA1 4JL
2 Green Dental 2 Green Walk Crayford Kent DA1 4JL

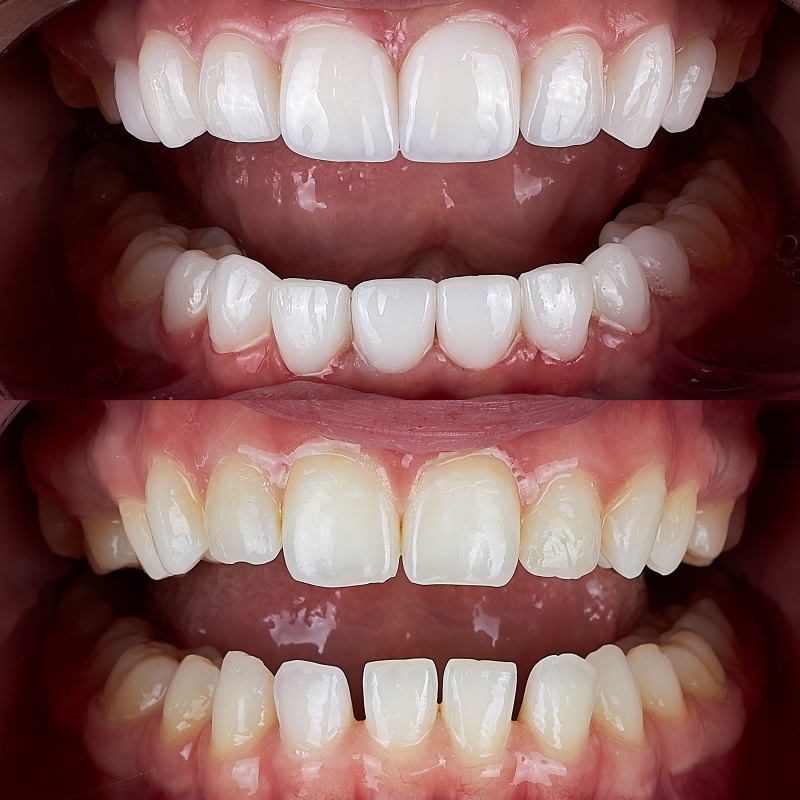
If you’re looking to improve the appearance of your smile quickly and comfortably, composite bonding may be an excellent option.
At 2 Green Dental, we offer this minimally invasive treatment to address a range of cosmetic concerns – often in just a single appointment.

Composite bonding is a cosmetic dental treatment that involves applying a tooth-coloured resin (a special dental material) to the surface of your teeth. The resin is shaped and polished to blend naturally with your existing teeth, improving their appearance without removing healthy tooth structure.
This treatment can address several common issues, including:
Because composite bonding involves no drilling in most cases, it’s a popular choice for patients looking for a quick and comfortable way to enhance their smile.
Composite bonding offers several benefits:
Composite bonding is ideal for patients who want to enhance their smile without more complex procedures.
It’s particularly suitable for closing small gaps, repairing minor damage, or improving tooth shape for a more balanced smile.

At 2 Green Dental, the composite bonding process is straightforward and typically completed in one appointment:
There’s usually no need for anaesthetic, and the treatment is pain-free for most patients.
After composite bonding, you can return to normal activities straight away. To keep your results looking their best:
With the right care, composite bonding can last several years before needing minor maintenance or replacement.
If you’d like to enhance your smile with composite bonding, book an appointment at 2 Green Dental today to discuss your options.

Depending on your needs, alternative treatments may include:
Your dentist will discuss the most appropriate treatment plan during your consultation.
Costs vary depending on the number of teeth treated and the complexity of your case. Treating a single tooth is usually less expensive than a full smile makeover. A consultation is the best way to receive a tailored treatment plan and an accurate quote.
No — composite bonding is usually a pain-free procedure. It involves little or no drilling, so anaesthetic is rarely needed. Most patients remain completely comfortable throughout the treatment.
With good oral care, composite bonding can last 3 to 7 years. Brushing and flossing daily, attending regular check-ups and avoiding habits like biting hard objects or excessive staining can help keep results looking fresh. Minor touch-ups may be needed over time.
Yes. Bonding is minimally invasive and usually doesn’t require removing much tooth structure. This makes it easy to reverse or replace in the future if needed.
Yes. The resin is colour-matched to your teeth and shaped to blend seamlessly with your smile. When done by a skilled dentist, the result looks natural and enhances your teeth without appearing artificial.
"Many people are afraid to go to the dentist. But here you needn't worry. The whole set up at Green Dental is 1st class and very professional. They...
"Love this dentist. Staff are so friendly, as always a warm welcome from Helen, Jade and Jodie on reception. As for the dentist, they treat you like a...
"I had some composite bonding work done by Dr Mihir and am so happy with the results. He was so professional and his work is excellent. He pays great...
"Excellent!! The staff were very friendly, welcoming and helpful. The work was done very efficiently, and I am extremely happy with the quality of ser...
"I recently had teeth extractions done in 2 Green dental and had a very painless experience. All the staff, my dentist and nurse (Jess) were very frie...
"I have attended the practice for a number of years and have always found all staff very friendly, helpful and professional. I recently saw my hygieni...
"Myself and my son both had our appointments with a new young DentIst called Julia. I wanted to say that she was such a lovely person. Very informativ...
"Excellent staff and very friendly. Ameka my dentist is brilliant. I was terrified of the a dentist in the past but NOT anymore. Would highly recommen...
Spread the cost of your treatments (subject to affordability, age and status - minimum spend applies)
Learn More
